Aumentan casos graves de tuberculosis en Nuevo Laredo; reportan dos muertes
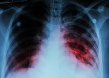
Nuevo Laredo, Tamaulipas.- El Hospital General de Nuevo Laredo ha atendido en lo que va de 2026 a pacientes con ...
Nuevo Laredo, Tamaulipas.- El Hospital General de Nuevo Laredo ha atendido en lo que va de 2026 a pacientes con ...