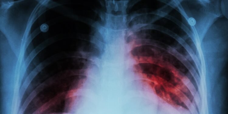
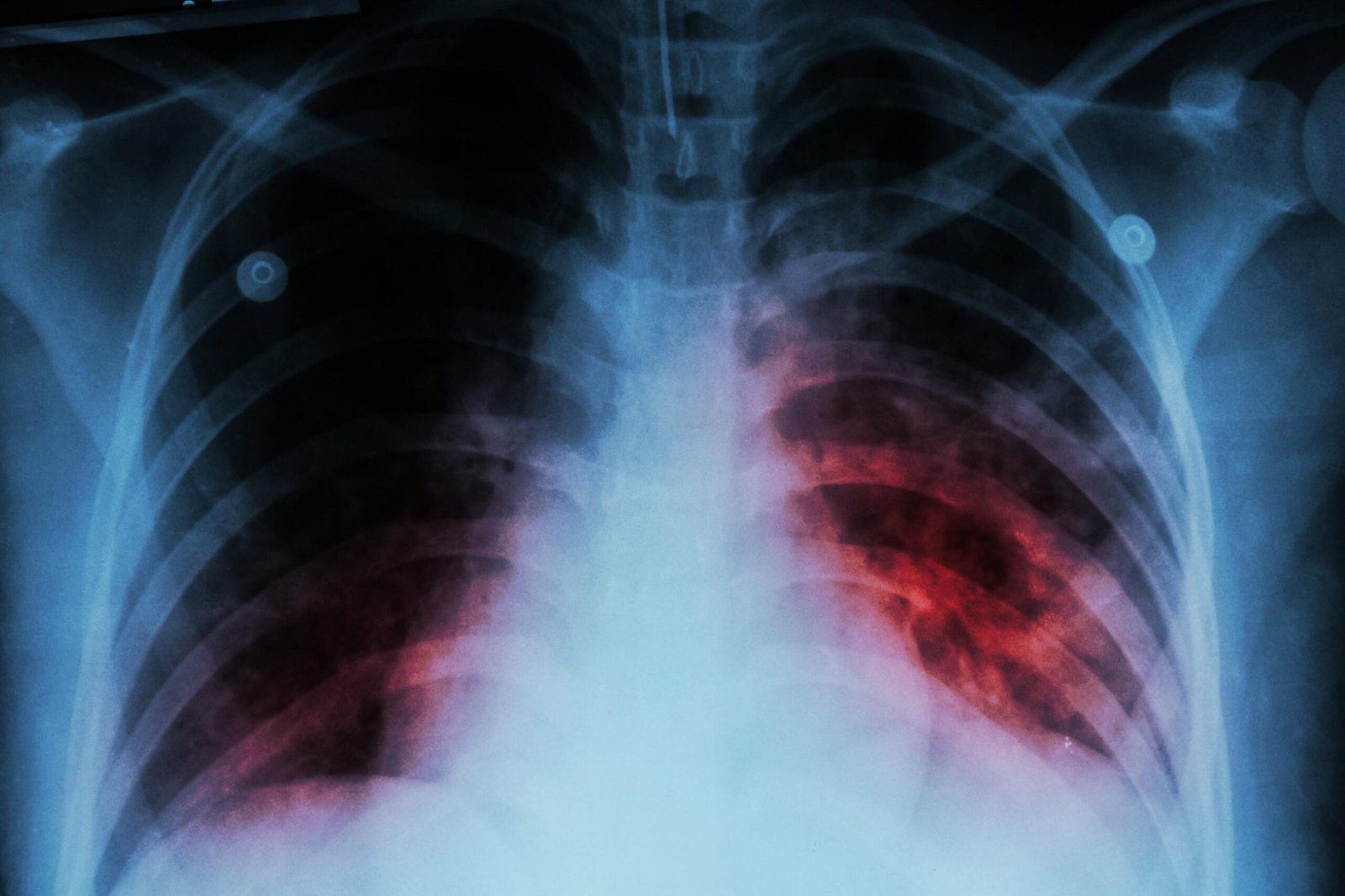
Nuevo Laredo, Tamaulipas.- El Hospital General de Nuevo Laredo ha atendido en lo que va de 2026 a pacientes con tuberculosis en fase avanzada, situación que ha derivado en dos defunciones y en un incremento en la demanda de hospitalización por complicaciones asociadas a esta enfermedad, informó el epidemiólogo Filiberto Martínez Cuéllar.
De acuerdo con el especialista, el aumento no se concentra en nuevos diagnósticos dentro del hospital, sino en pacientes que ya habían sido detectados previamente en el módulo de tuberculosis del Distrito para el Bienestar y que son canalizados al nosocomio al presentar un deterioro en su estado de salud.
Precisó que estos casos requieren atención médica especializada, por lo que el hospital se encarga de brindar tratamiento inicial durante la estancia del paciente. Posteriormente, una vez estabilizados, son remitidos nuevamente al módulo correspondiente para continuar con su seguimiento clínico y control epidemiológico, incluyendo la vigilancia de su entorno familiar.
El médico explicó que la tuberculosis continúa afectando principalmente a personas adultas mayores, en especial a quienes padecen enfermedades crónicas como diabetes, hipertensión o VIH, factores que debilitan el sistema inmunológico y favorecen la progresión de la enfermedad. En contraste, indicó que la incidencia en menores de edad es baja.
En cuanto a la detección, señaló que los estudios de expectoración permiten confirmar el diagnóstico en un periodo aproximado de 24 horas, complementados con estudios de imagen. Añadió que, en algunos casos, el antecedente de convivencia con personas infectadas resulta clave para la identificación oportuna.
Martínez Cuéllar subrayó que síntomas como tos persistente por más de dos semanas, pérdida de peso, fiebre vespertina, falta de apetito y debilidad general deben ser considerados señales de alerta, especialmente en personas con factores de riesgo.
La atención oportuna y el seguimiento adecuado de los tratamientos continúan siendo fundamentales para evitar complicaciones y reducir la transmisión de la enfermedad en la comunidad.























